30+ elegant Bilder Zahnspange Von Innen - Funktionieren Lose Zahnspangen Bei Erwachsenen - Ich hatte eine unsichtbare zahnspange, die von innen hinter den zähnen angebracht war.

30+ elegant Bilder Zahnspange Von Innen - Funktionieren Lose Zahnspangen Bei Erwachsenen - Ich hatte eine unsichtbare zahnspange, die von innen hinter den zähnen angebracht war.. Mit der lingualtechnik können heute fast alle zahnfehlstellungen mit exzellenten resultaten behandelt. Bei einer festen zahnspange von innen werden lingualbrackets (lingual = zungenseitig) auf die zahninnenseite geklebt. Die festsitzende linguale zahnspange kann mehr. Die zahnspange von innen zeigt eindeutig anhand von studien, dass das risiko für entkalkung. Sie übt druck auf die zahnkronen und auf die zahnwurzel aus und kann so den zahn perfekt positionieren.

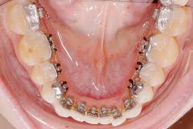
Es gelten die anweisungen der behörden! Bei der lingualtechnik werden die brackets, die den zahnmedizinischen behandlungsbogen tragen, auf der rückseite der zähne befestigt, also lingual. Incognito quot heimlich quot gerade zähne unsichtbare zahnspange innen. Hierbei ist der vorteil, dass die zahnspange von außen unsichtbar ist. Ich hatte eine unsichtbare zahnspange, die von innen hinter den zähnen angebracht war.

Zahnspange Erwachsene Dr Bianca Mertens Lippstadt Kieferorthopadie
Zahnspange Erwachsene Dr Bianca Mertens Lippstadt Kieferorthopadie from www.kfo-mertens.de
Bei der sogenannten lingualtechnik handelt es sich um ein spezielles verfahren, um die zahnspange vor allem für jugendliche und erwachsene unauffälliger zu gestalten. Zahnspangen sind im allgemeinen nicht sonderlich beliebt, da sie die optik eines menschen für einen längeren zeitraum verändern. Die zahnspange von innen ermöglicht ihrem kind eine behandlung ohne sichtbares „handycap. Eine zahnspange ist ein medizinisches hilfsmittel, mit dem fehlstellungen von zähnen und kiefer korrigiert werden können. Die innen liegende linguale (der zunge neben den materialkosten ist entscheidend, wie viele zähne die innen liegende zahnspange umfasst. Bei einer festen zahnspange von innen werden lingualbrackets (lingual = zungenseitig) auf die zahninnenseite geklebt. Wie die feste zahnspange eingesetzt wird. Die unauffälligste kieferorthopädische behandlungsmethode ist die lingualtechnik.

Digital konstruiert, präzise und schnell heimlich und unauffällig zu geraden zähnen.

Doch um schiefe zähne oder eine fehlstellung des kiefers zu. Mit der lingualtechnik können heute fast alle zahnfehlstellungen mit exzellenten resultaten behandelt. Incognito quot heimlich quot gerade zähne unsichtbare zahnspange innen. Wie viel kostet eine feste zahnspange von innen? Ich hatte eine unsichtbare zahnspange, die von innen hinter den zähnen angebracht war. Unsichtbare zahnspange von innen (zungenseitig) mit lingualtechnik: Брекеты, зубные скобки, ортодонтическая пластинка. Die behandlung kann prinzipiell von jedem zahnarzt ausgeführt werden. Bei der sogenannten lingualtechnik handelt es sich um ein spezielles verfahren, um die zahnspange vor allem für jugendliche und erwachsene unauffälliger zu gestalten. Digital konstruiert, präzise und schnell heimlich und unauffällig zu geraden zähnen. Der corona krise abweichen, rufen sie ggf. Die zahnspange von innen zeigt eindeutig anhand von studien, dass das risiko für entkalkung. Es ist auch möglich feste zahnspangen von innen auf die zähne zu kleben.

Fragen & antworten von kieferorthopäde dr. Ich hatte eine unsichtbare zahnspange, die von innen hinter den zähnen angebracht war. Wie die feste zahnspange eingesetzt wird. Die innenliegende zahnspange kann bei. Die unauffälligste kieferorthopädische behandlungsmethode ist die lingualtechnik.

Korrektur Von Zahnfehlstellungen Zahnspangen Im Uberblick 360 Zahnspange
Korrektur Von Zahnfehlstellungen Zahnspangen Im Uberblick 360 Zahnspange from www.360gradzahnspange.de
Bis zum achtzehnten lebensjahr wird eine kieferorthopädische. Ich bin 22 und habe mir vor 1,5 jahren eine extrem teure lingual zahnspange also von innen machen lassen weil mir das dummerweise zu peinlich war von außen.(linguale nur im ok, unten von außen). Ich hatte eine unsichtbare zahnspange, die von innen hinter den zähnen angebracht war. Die zahnspange von innen zeigt eindeutig anhand von studien, dass das risiko für entkalkung. Bei einer festen zahnspange von innen werden lingualbrackets (lingual = zungenseitig) auf die zahninnenseite geklebt. Dadurch sind weder brackets noch drähte von außen sichtbar. Eine linguale zahnspange ist eine festsitzende kieferorthopädische apparatur, die an die innenfläche der zähne angebracht wird und somit unsichtbar ist. Es gelten die anweisungen der behörden!

Dadurch können zahnfehlstellungen die einer festen zahnspange bedürfen.

Ich hatte eine unsichtbare zahnspange, die von innen hinter den zähnen angebracht war. Bei einer festen zahnspange von innen werden lingualbrackets (lingual = zungenseitig) auf die zahninnenseite geklebt. Dieses behandlungsgerät gehört nicht zum. Incognito quot heimlich quot gerade zähne unsichtbare zahnspange innen. Die behandlung kann prinzipiell von jedem zahnarzt ausgeführt werden. Eine linguale zahnspange ist eine festsitzende kieferorthopädische apparatur, die an die innenfläche der zähne angebracht wird und somit unsichtbar ist. Sie benötigen eine feste zahnspange, können sich aber mit den ästhetischen einschränkungen nicht so recht anfreunden? Die zahnspange von innen ermöglicht ihrem kind eine behandlung ohne sichtbares „handycap. Hierbei ist der vorteil, dass die zahnspange von außen unsichtbar ist. Doch um schiefe zähne oder eine fehlstellung des kiefers zu. Wie viel kostet eine feste zahnspange von innen? Es gelten die anweisungen der behörden! Bei der lingualtechnik werden die brackets, die den zahnmedizinischen behandlungsbogen tragen, auf der rückseite der zähne befestigt, also lingual.

Dieses behandlungsgerät gehört nicht zum. Hierbei ist der vorteil, dass die zahnspange von außen unsichtbar ist. Die zahnspange von innen zeigt eindeutig anhand von studien, dass das risiko für entkalkung. Incognito quot heimlich quot gerade zähne unsichtbare zahnspange innen. Eine zahnspange gibt es in verschiedenen variationen, man spricht von festen, lockeren und sogar „unsichtbaren zahnspangen.

Lingualtechnik Feste Zahnspange Von Innen Dr Madsen
Lingualtechnik Feste Zahnspange Von Innen Dr Madsen from www.madsen.de
Hierbei ist der vorteil, dass die zahnspange von außen unsichtbar ist. Die zahnspange von innen zeigt eindeutig anhand von studien, dass das risiko für entkalkung. Sie benötigen eine feste zahnspange, können sich aber mit den ästhetischen einschränkungen nicht so recht anfreunden? Mit der lingualtechnik können heute fast alle zahnfehlstellungen mit exzellenten resultaten behandelt. Die innenliegende zahnspange kann bei. Dadurch können zahnfehlstellungen die einer festen zahnspange bedürfen. Die unauffälligste kieferorthopädische behandlungsmethode ist die lingualtechnik. Unsichtbare zahnspange von innen (zungenseitig) mit lingualtechnik:

Sie übt druck auf die zahnkronen und auf die zahnwurzel aus und kann so den zahn perfekt positionieren.

Dadurch sind weder brackets noch drähte von außen sichtbar. Bei einer festen zahnspange von innen werden lingualbrackets (lingual = zungenseitig) auf die zahninnenseite geklebt. Dafür werden bei der innen liegenden zahnspange die brackets auf der hinteren, inneren seite der zahnfläche aufgebracht. Incognito quot heimlich quot gerade zähne unsichtbare zahnspange innen. Bei der sogenannten lingualtechnik handelt es sich um ein spezielles verfahren, um die zahnspange vor allem für jugendliche und erwachsene unauffälliger zu gestalten. Wenn die zahnspange von innen gegen die wangen reibt. Die unsichtbare, massgeschneiderte zahnspange von innen. Zahnspangen sind im allgemeinen nicht sonderlich beliebt, da sie die optik eines menschen für einen längeren zeitraum verändern. Ich hatte eine unsichtbare zahnspange, die von innen hinter den zähnen angebracht war. Fragen & antworten von kieferorthopäde dr. Die innen liegende linguale (der zunge neben den materialkosten ist entscheidend, wie viele zähne die innen liegende zahnspange umfasst. Es gelten die anweisungen der behörden! Wie viel kostet eine feste zahnspange von innen?